Perfecciona
tus habilidades, impulsa tu carrera
En el ámbito multidisciplinario de la radioterapia, la física médica y la protección radiológica, la formación continua es clave para garantizar una práctica segura y efectiva.
Plataforma de aprendizaje y entrenamiento para potenciar tu formación
AT Training Hub
Nuestros cursos
Nuestros primeros cursos de contorneo para residentes en Oncología Radioterápica y técnicos de radioterapia los hemos desarrollado en colaboración con la Fundación para la Investigación Biomédica del Hospital Universitario Ramón y Cajal (FIBioHRC) y la Universidad Politécnica de Madrid (CTB-UPM). Este desarrollo conjunto del proyecto marca el alto estándar de calidad clínico, tecnológico y científico.
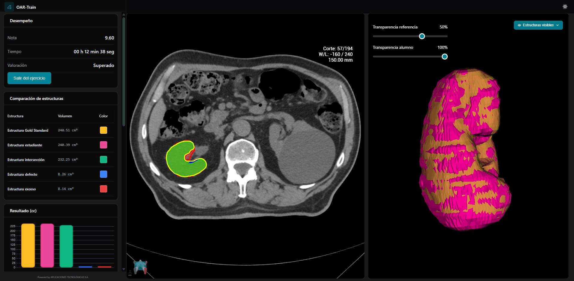
OAR-Train
Preservar lo sano, tratar con precisión
Curso de delimitación de órganos de riesgo dirigido a técnicos de dosimetría
Contorneo para técnicos de dosimetría
Herramienta formativa de aprendizaje de la correcta delimitación de órganos de riesgo (OAR). Engloba las distintas regiones anatómicas.
- Cada módulo se dedica a una región anatómica.
- Los ejercicios incluyen las imágenes de TC con un editor para dibujar los contornos.
- El ejercicio práctico se evalúa de modo automático a través de un algoritmo de comparación.
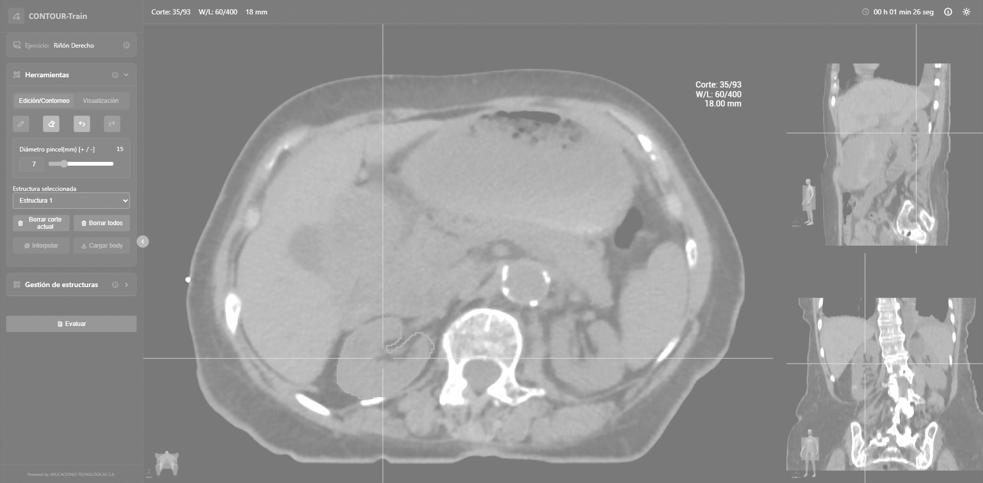
CONTOUR-Train

Formación avanzada: delimitando el cáncer, maximizando la eficacia.
Curso de contorneo para residentes de Oncología Radioterápica
Formación especializada para Oncólogos Radioterápicos
Herramienta formativa para aprender la correcta delimitación de lesiones tumorales y órganos de riesgo. Abarca las distintas patologías existentes en oncología radioterápica.




