
Las funciones principales del técnico de Radioterapia y Dosimetría
Las funciones del técnico de Radioterapia y Dosimetría en las distintas etapas clínicas del tratamiento radioterápico aparecen en el Real Decreto 772/2014. También se presentan en el Real Decreto 391/2025 de criterios de calidad y seguridad en las unidades asistenciales de radioterapia. Entre ellas se incluye la colaboración en la delimitación de órganos de riesgo (OAR). La herramienta de aprendizaje y entrenamiento OAR-Train capacita a los estudiantes del ciclo superior en esta crucial tarea para la seguridad del paciente.
El Real Decreto 772/2014 establece el título de Técnico Superior en Radioterapia y Dosimetría, con las enseñanzas requeridas. En él, se define la competencia general del título, que incluye:
- Aplicar tratamientos con radiaciones ionizantes bajo prescripción médica
- Utilizar equipos con fuentes encapsuladas o productores de radiaciones, aplicando las normas de radioprotección
- Asistir al paciente durante su estancia en la unidad de radioterapia
- Realizar procedimientos de protección radiológica hospitalaria, siguiendo normas de garantía de calidad y los protocolos.
Este título habilita para las siguientes ocupaciones y puestos de trabajo:
- Técnico en radioterapia
- Personal auxiliar de los servicios de protección radiológica
- Delegado comercial de equipos de radioelectrología médica.
Por tanto, se trata de un título con diversas salidas profesionales. Además, el Real Decreto 772/2014 señalaba que la dotación de técnicos de radioterapia en España resultaba escasa con respecto a las recomendaciones europeas.
El papel del técnico de Radioterapia y Dosimetría en las etapas clínicas del tratamiento radioterápico
El técnico adscrito a las unidades de radioterapia tiene un papel esencial en muchas de las etapas clínicas del proceso radioterápico, tal como las especifica el Real Decreto 391/2025.
Este Real Decreto fija las responsabilidades del técnico superior. Estas tareas las realiza en estrecha relación con el médico especialista en oncología radioterápica y el especialista en radiofísica hospitalaria. Siguiendo el orden secuencial del flujo de trabajo, el técnico superior realiza la adquisición de imágenes de tomografía computarizada (TC) y participa en la de otros tipos de imágenes. Lleva a cabo estas tareas bajo la dirección del médico y la participación del radiofísico.
Con las imágenes de TC, colabora en la delimitación de órganos de riesgo (OAR) en el sistema de planificación del tratamiento, bajo supervisión del oncólogo radioterápico. Asimismo, colabora en los procesos de dosimetría clínica de cada paciente y su gestión, con la supervisión del radiofísico hospitalario. Con el especialista en radiofísica, también participa en los procesos de validación de tratamientos.
Por otra parte, evalúa las imágenes de verificación en cada sesión de tratamiento, con la supervisión del médico. Realiza la aplicación de los tratamientos de radioterapia autorizados por el oncólogo radioterápico y el radiofísico, de forma que cumpla los criterios de aceptación del plan de irradiación. Los técnicos superiores firman el tratamiento administrado al finalizar cada sesión.
El técnico superior también participa en el programa de control de calidad del equipamiento, en la gestión y preparación de fuentes radiactivas y en la realización de los controles de calidad, siempre bajo supervisión del radiofísico. Así, colabora en el programa de garantía de calidad y seguridad.
De hecho, el Real Decreto 391/2025 remarca el imprescindible papel del técnico superior al requerir su presencia en la comisión de garantía de calidad y seguridad de las unidades asistenciales de radioterapia.
Principales funciones del técnico superior de Radioterapia y Dosimetría
Las funciones del técnico superior de Radioterapia y Dosimetría engloban aspectos muy diversos. Se relacionan con los equipos, las imágenes médicas, la simulación y aplicación del tratamiento de radioterapia, la protección radiológica, la asistencia sanitaria y la gestión de calidad.
Entre las tareas relacionadas con los equipos se encuentran la verificación de su funcionamiento y los procedimientos de calidad y seguridad. En cuanto a la imagen médica, verifican su calidad y realizan el control de calidad del procesado.
Dentro de la simulación del tratamiento elaboran los complementos y accesorios. Preparan los equipos de simulación y aplican los protocolos en la unidad de simulación. Además, realizan las imágenes para simulación y la dosimetría física y clínica.
En la aplicación del tratamiento se encargan de los tratamientos de teleterapia con los criterios de optimización. La teleterapia engloba la cobaltoterapia, los aceleradores de partículas y los rayos X de baja y media energía. Los técnicos llevan a cabo las tareas de manejo y mantenimiento de los equipos y los protocolos de tratamiento. En la braquiterapia, gestionan y manipulan las fuentes radiactivas, preparan el material necesario y colaboran en la aplicación de este tratamiento. Asimismo, realizan el mantenimiento y manejo de equipos.
En ambos procedimientos, siguen las normas de protección radiológica con los protocolos de protección frente a radiaciones ionizantes y la gestión del material radiactivo.
Por otra parte, se encargan de la asistencia sanitaria del paciente durante su estancia en la unidad de radiodiagnóstico, medicina nuclear o radioterapia.
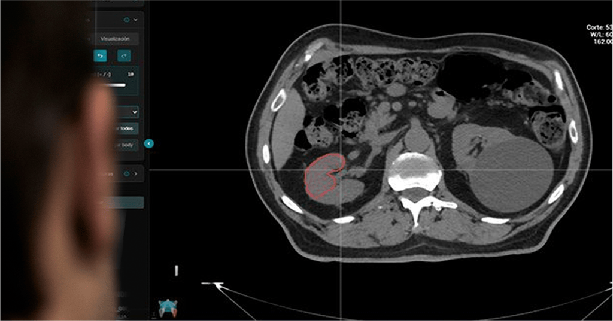
OAR-Train: en radioterapia, cada milímetro cuenta
Un órgano de riesgo (OAR) es un tejido sano o estructura crítica. Es necesario delimitarlo con precisión por su cercanía a la lesión a tratar. De lo contrario, la radiación podría lesionarla y afectar a su funcionamiento normal. Por eso, una de las funciones críticas del técnico superior de Radioterapia y Dosimetría es su colaboración en la delimitación de OAR. Con el contorneo que lleva a cabo el técnico bajo supervisión del médico especialista, se protegen las estructuras críticas y se reducen los efectos adversos.
Por ejemplo, en el caso de la médula espinal, si recibe una dosis superior a 45 Gy en fracciones convencionales podría provocar mielitis. La afección puede causar debilidad progresiva, disfunción sensorial e incluso parálisis irreversible. Es decir, tiene un grave impacto sobre la calidad de vida del paciente.
OAR-Train es la primera herramienta digital de la plataforma educativa AT Training Hub de Aplicaciones Tecnológicas S.A. Se dirige a los técnicos de Radioterapia y Dosimetría para capacitarlos en la correcta delimitación de órganos de OAR. Cuenta con el aval científico de la Fundación para la Investigación Biomédica del Hospital Universitario Ramón y Cajal (FIBioHRC) y la Universidad Politécnica de Madrid (CTB-UPM). Ambas instituciones son codesarrolladoras del proyecto. Además, metrodora-FP es nuestro partner educativo, probando la herramienta en un entorno real de aula.
OAR-Train ya está operativa al completo para la formación teórico-práctica de los estudiantes del ciclo superior de Formación Profesional de Radioterapia y Dosimetría. Se trata de una propuesta de valor y método innovador de aprendizaje y contorneo para centros de FP que ofertan este ciclo.
Tiene disponible la grabación del webinar bajo demanda OAR-Train, herramienta online para el entrenamiento en la delimitación de órganos de riesgo en la página de Formación de la web de Aplicaciones Tecnológicas de la Física.
Si le interesa la herramienta de aprendizaje y entrenamiento OAR-Train puede contactarnos y agendar una reunión en el siguiente enlace.
Más información
Real Decreto 391/2025, de 13 de mayo, por el que se establecen los criterios de calidad y seguridad de las unidades asistenciales de radioterapia.
Real Decreto 601/2019, de 18 de octubre, sobre justificación y optimización del uso de las radiaciones ionizantes para la protección radiológica de las personas con ocasión de exposiciones médicas.
Real Decreto 772/2014, de 12 de septiembre, por el que se establece el título de Técnico Superior en Radioterapia y Dosimetría y se fijan sus enseñanzas mínimas.